Mesmo após o tratamento, o vírus ebola pode ressurgir e causar danos cerebrais ao paciente, mostra um estudo americano. A constatação foi feita em testes com macacos — que apresentaram resquícios do patógeno no cérebro após receberem a terapia com anticorpos monoclonais — e reforça a tese de que o mesmo fenômeno ocorre em humanos.
No estudo, divulgado na revista Science Translational Medicine, os autores explicam que pesquisas anteriores mostraram que, depois de a infecção tratada, o ebola pode persistir em algumas áreas do corpo de pacientes. As consequências disso, porém, não eram conhecidas. "O nosso trabalho é o primeiro a revelar o que pode acontecer após o patógeno encontrar um esconderijo no organismo", afirma, em comunicado, Xiankun Zeng, um dos autores do estudo e pesquisador do Instituto de Pesquisa Médica de Doenças Infecciosas do Exército dos Estados Unidos.
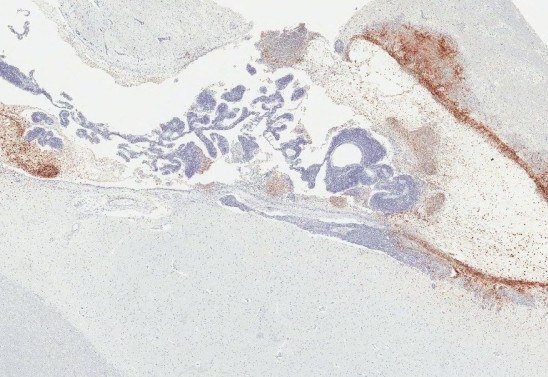
O grupo avaliou mais de 10 macacos infectados pelo ebola e tratados da mesma forma que humanos com a doença. Análises mostraram que o vírus estava escondido em uma região de alto risco. "Descobrimos que cerca de 20% dos macacos que sobreviveram à exposição letal ao ebola após o tratamento com terapia de anticorpos monoclonais tinham resquícios da infecção especificamente no sistema ventricular cerebral, local em que o líquido cefalorraquidiano é produzido, mesmo quando o vírus havia sido eliminado de todos os outros órgãos", detalha Zeng.
Os dados entram em concordância com o caso de uma enfermeira britânica que apresentou meningoencefalite, uma inflamação cerebral, nove meses depois de se recuperar da doença. A paciente também havia recebido anticorpos monoclonais. "Vemos claramente que esse vírus pode se reativar e causar recaídas nos sobreviventes", destacaram os autores.
Zeng defende que o resultado seja considerado no enfrentamento à doença. "Felizmente, já temos vacinas aprovadas e terapias de anticorpos monoclonais eficientes. Estamos em uma posição muito melhor para conter surtos. Mas nosso estudo reforça a necessidade de acompanhamento de longo prazo dos sobreviventes. Isso servirá para reduzir o risco de ressurgimento da doença, além de ajudar a evitar a estigmatização dos pacientes", argumenta.
