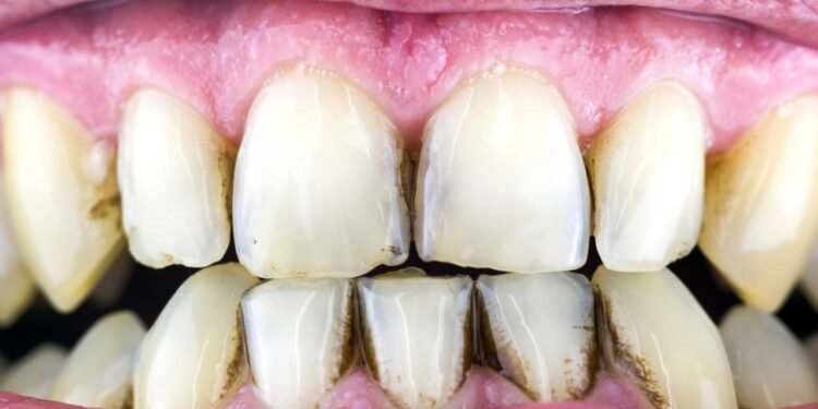
O Tártaro Dental, tecnicamente conhecido como cálculo dental, resulta da placa bacteriana que endurece sobre os dentes. Quando não é removida regularmente por meio de escovação adequada e uso diário do fio dental, essa placa se mineraliza em poucas horas e passa a favorecer o acúmulo de mais bactérias.
O que é o tártaro dental e quais problemas ele pode causar?
Essa placa mineralizada coleta minerais da saliva, como cálcio e fosfato, endurecendo em um período de vinte e quatro a setenta e duas horas. Uma vez formado, o tártaro fornece uma superfície rugosa que promove mais acúmulo de placa, perpetuando um ciclo adverso.
O depósito de tártaro pode estar presente acima ou abaixo da linha da gengiva, com cores do amarelo ao marrom e até preto. Se não tratado, pode levar a cáries, mau hálito persistente, retração gengival e doenças periodontais mais graves.
Para compreender melhor o que é o tártaro, como ele se forma e como evitar seu aparecimento em casa, assista ao vídeo a seguir, no qual o(a) dentista explica o assunto de forma clara e didática no canal responsável pelo conteúdo.
Como o bicarbonato de sódio pode beneficiar a saúde oral?
O bicarbonato de sódio se destaca como um método eficaz de controle da placa bacteriana, ajudando a prevenir sua progressão para o tártaro. Estudos, como os do International Journal of Dental Hygiene, mostram que cremes dentais com bicarbonato removem mais placa do que aqueles sem esse componente.
Além de auxiliar na remoção da placa, o bicarbonato demonstra reduzir o sangramento gengival e neutralizar ácidos na boca. Seu uso correto aproveita suas propriedades antibacterianas e de baixa abrasividade, promovendo dentes mais limpos e gengivas mais saudáveis.

Como incorporar o bicarbonato de sódio na rotina de higiene bucal?
Para garantir o uso seguro do bicarbonato de sódio nos cuidados dentais, é importante seguir orientações simples de frequência e forma de aplicação. Sempre que possível, o uso deve ser combinado com um creme dental fluoretado e acompanhado de escovação suave.
- Uso limitado: Escove os dentes com bicarbonato no máximo duas vezes por semana, por dois minutos cada vez, para evitar danos ao esmalte.
- Combinação segura: Prefira cremes que combinem bicarbonato com flúor, usados diariamente, para proteção adicional contra cáries.
- Enxágue caseiro: Misture uma pequena quantidade de bicarbonato em água morna para um enxágue pós-escovação ocasional.
Quais são os métodos adicionais de controle da placa bacteriana?
Além do bicarbonato, alguns métodos caseiros podem complementar a higiene bucal, desde que não substituam escovação, fio dental e orientação profissional. Eles atuam principalmente reduzindo bactérias e estimulando a produção de saliva.
Entre eles, o oil pulling com óleo de coco pode ajudar na redução de bactérias orais, embora as evidências ainda sejam limitadas. O uso de vinagre branco bem diluído em água morna pode auxiliar na desorganização da placa inicial, e alimentos crocantes, como maçãs e cenouras, contribuem com limpeza mecânica leve.
Por que a consulta profissional é essencial para remover o tártaro?
Mesmo com práticas de higiene caseira eficazes, o tártaro já estabelecido precisa ser removido por profissionais dentários. Dentistas e higienistas utilizam instrumentos como curetas e aparelhos ultrassônicos para remover o cálculo de forma segura e completa.
Para prevenir o acúmulo de tártaro, é fundamental manter escovação correta pelo menos duas vezes ao dia, uso diário do fio dental e visitas semestrais ao dentista. Essas medidas preservam a saúde oral geral e permitem tratar precocemente qualquer formação de tártaro antes de causar problemas mais sérios.
Entre em contato:
Dra. Anna Luísa Barbosa Fernandes
CRM-GO 33.271









