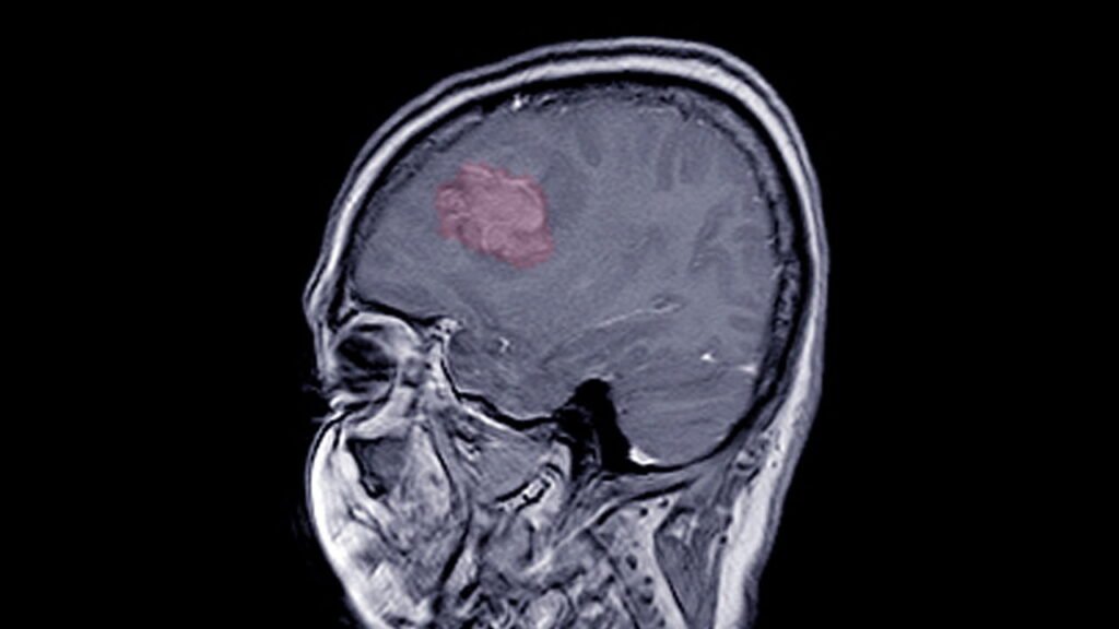
Os Tumores Cerebrais representam uma das condições neurológicas mais desafiadoras da medicina moderna. Eles surgem a partir da multiplicação anormal de células dentro do cérebro e podem provocar complicações sérias por compressão de estruturas vizinhas e pelo aumento da pressão intracraniana.
Embora alguns sejam benignos e de crescimento lento, outros apresentam comportamento agressivo e exigem diagnóstico precoce para ampliar as chances de tratamento eficaz e preservar a qualidade de vida.

Quando suspeitar de um tumor cerebral?
Os sintomas variam conforme a localização, tamanho e velocidade de crescimento, mas alguns sinais merecem atenção especial:
- Dores de cabeça persistentes e diferentes das habituais
- Náuseas e vômitos, principalmente ao acordar
- Alterações cognitivas ou de comportamento
- Crises convulsivas em pessoas sem histórico anterior
- Perda de força ou sensibilidade em um lado do corpo
- Alterações visuais ou auditivas progressivas
Esses sintomas, isolados ou combinados, devem ser sempre investigados com exames de imagem, como a ressonância magnética.
Tipos de tumores cerebrais
Os tumores cerebrais podem ser classificados de formas distintas:
- Primários: originados no próprio cérebro, raramente se espalham para outros órgãos.
- Secundários (metastáticos): surgem a partir de cânceres de outras partes do corpo e se instalam no cérebro.
- Benignos: de crescimento lento, com menor risco de agressividade.
- Malignos: de rápida evolução e maior impacto clínico.
Entre os principais tipos de tumores intracranianos estão:
- Meningiomas – surgem nas membranas que envolvem e protegem o cérebro (as meninges). Geralmente são benignos, de crescimento lento, e aparecem com mais frequência em adultos, principalmente mulheres.
- Gliomas – são os tumores mais típicos do cérebro, porque nascem das células de sustentação dos neurônios (chamadas células da glia). Incluem diferentes subtipos, como os astrocitomas, oligodendrogliomas e o glioblastoma, que é considerado o mais agressivo.
- Meduloblastomas – aparecem principalmente em crianças, na região do cerebelo (área responsável pelo equilíbrio e coordenação motora). Podem causar sintomas como dificuldade para andar, tontura e dor de cabeça.
- Schwannomas (neuromas acústicos) – são tumores geralmente benignos que crescem nos nervos dentro do crânio, em especial no nervo auditivo, podendo provocar zumbido, perda de audição e problemas de equilíbrio.
Como é feito o tratamento de um tumor intracraniano?
O tratamento depende do tipo de tumor, da localização e do estado clínico do paciente. Entre as abordagens mais utilizadas estão:
- Cirurgia: parte principal do tratamento e deve ser realizado sempre que possível, busca remover total ou parcialmente o tumor. Além de possibilitar o diagnóstico celular, molecular e genético.
- Radioterapia: indicada para destruir células tumorais residuais após a cirurgia ou inibir o crescimento de tumores inoperáveis.
- Quimioterapia: usada em tumores malignos, podendo ser combinada à radioterapia.
- Terapias avançadas: incluem técnicas como neuronavegação, cirurgia guiada por fluorescência, biópsia estereotáxica, imunoterapia e protocolos de tratamento personalizados.
Benefícios do diagnóstico precoce
- Maior possibilidade de ressecção completa do tumor
- Menor risco de sequelas neurológicas
- Melhor resposta a radioterapia e quimioterapia
- Mais opções de tratamentos inovadores e personalizados
Existem riscos relacionados ao tratamento ?
Assim como em qualquer procedimento neurocirúrgico, os riscos existem e incluem sangramentos, infecções, crises convulsivas e déficits neurológicos temporários ou permanentes. Por isso, é fundamental que o tratamento seja conduzido por um especialista experiente, em ambiente hospitalar com suporte multidisciplinar.
Decisão consciente e personalizada
A decisão sobre o tratamento de um tumor cerebral deve ser feita com base em uma avaliação criteriosa: exames de imagem, análise molecular do tumor, histórico clínico e resposta a terapias anteriores. Buscar orientação especializada é essencial para garantir segurança e melhores resultados. Muitas vezes, uma segunda opinião médica também traz clareza e confiança para pacientes e familiares.










