Pesquisadores de Harvard e Otago, na Nova Zelândia, desenvolveram uma ferramenta inovadora chamada DunedinPACNI, que pode medir a velocidade com que uma pessoa está envelhecendo usando apenas uma ressonância magnética do cérebro. A descoberta foi publicada na revista Nature Aging.
Como funciona o DunedinPACNI?
Pense no DunedinPACNI como um "relógio do envelhecimento". Ele vai além da sua idade cronológica (quantos anos você tem de vida) e revela a sua idade biológica, ou seja, a velocidade real com que seu corpo e cérebro estão envelhecendo. Algumas pessoas envelhecem mais rápido que outras, e essa ferramenta consegue medir isso com precisão.
O DunedinPACNI foi treinado com dados únicos, coletados ao longo de quase 20 anos do mesmo grupo de pessoas. Ao contrário de estudos anteriores que comparavam indivíduos de diferentes idades em um único momento, esta nova abordagem permite separar o ritmo de envelhecimento de fatores externos, como exposição ao chumbo ou fumaça de cigarro, que poderiam distorcer os resultados.
A base para o treinamento da ferramenta foi o famoso Estudo Dunedin, que acompanhou 1.037 pessoas na Nova Zelândia entre 1972 e 1973 desde o nascimento. Os pesquisadores avaliavam periodicamente diversos indicadores de saúde, como pressão arterial, IMC, níveis de glicose e colesterol, função pulmonar e renal, e até mesmo a saúde bucal. Com base nas mudanças desses indicadores ao longo do tempo, eles criaram uma pontuação para a velocidade de envelhecimento de cada participante.
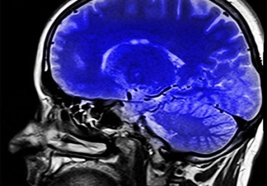
Para "ensinar" a ferramenta, os pesquisadores usaram as informações de uma única ressonância magnética cerebral, coletada de 860 participantes do Estudo Dunedin quando tinham 45 anos. Isso significa que um simples exame do cérebro pode agora revelar muito sobre como seu corpo está envelhecendo.
O que a ferramenta pode prever?
As descobertas são impressionantes e mostram uma forte ligação entre o envelhecimento do cérebro e a saúde geral do corpo:
- Pior desempenho cognitivo: pessoas que estavam envelhecendo mais rápido tiveram resultados piores em testes de memória e raciocínio.
- Redução do hipocampo: essas pessoas também apresentaram uma diminuição acelerada no hipocampo, uma área do cérebro crucial para a memória.
- Risco aumentado de demência: o mais surpreendente é que essas pessoas tinham 60% mais chances de desenvolver demência nos anos seguintes.
- Declínio da saúde geral: Indivíduos com pontuações de envelhecimento mais rápido também eram mais frágeis e tinham maior probabilidade de desenvolver problemas de saúde relacionados à idade, como ataques cardíacos, doenças pulmonares ou derrames.
- Maiores riscos de doenças crônicas e morte: aqueles que envelheciam mais rapidamente tinham 18% mais chances de serem diagnosticados com uma doença crônica e assustadores 40% mais chances de morrer nos anos seguintes, em comparação com quem envelhecia em ritmo médio ou mais lento.
A capacidade de identificar quem está envelhecendo mais rápido e tem maior risco de demência (como o alzheimer) anos antes dos sintomas aparecerem é um dos pontos mais importantes. Isso pode abrir portas para intervenções precoces, como mudanças no estilo de vida, ajustes na dieta ou até mesmo o desenvolvimento de novos tratamentos medicamentosos.
Saiba Mais
-
Ciência e Saúde Refrigerantes sólidos surgem como opção aos gases poluentes do ar-condicionado
-
Ciência e Saúde Como ler transforma o cérebro
-
Ciência e Saúde 'Dava desculpas ao meu marido para não fazer sexo porque sentia dor'; a doença na vulva que pode passar desapercebida
-
Ciência e Saúde Cientistas traçam o perfil de quem teve experiências fora do corpo
-
Ciência e Saúde Estudos indicam prejuízos na adoção da semana escolar de quatro dias nos EUA
-
Ciência e Saúde A descoberta japonesa que muda o entendimento sobre Vênus
