A erosão ácida nos dentes é um tipo de desgaste que acontece quando o dente entra em contato repetido com substâncias ácidas, seja pela alimentação ou por condições de saúde. O esmalte, que é a camada externa e rígida, começa a perder minerais de forma gradual. Como esse processo costuma ser silencioso no início, muitas pessoas só percebem algo diferente quando os sinais já estão mais evidentes, como sensibilidade ou mudança no formato dos dentes.
Esse desgaste químico não depende de bactérias da boca e, por isso, não é classificado como cárie. Ele está ligado principalmente ao pH baixo no ambiente bucal. Em um cenário em que refrigerantes, energéticos, sucos ácidos e bebidas gaseificadas fazem parte da rotina de grande parte da população, o tema ganhou espaço nos consultórios odontológicos nos últimos anos.
O que é erosão ácida nos dentes e como ela se desenvolve?
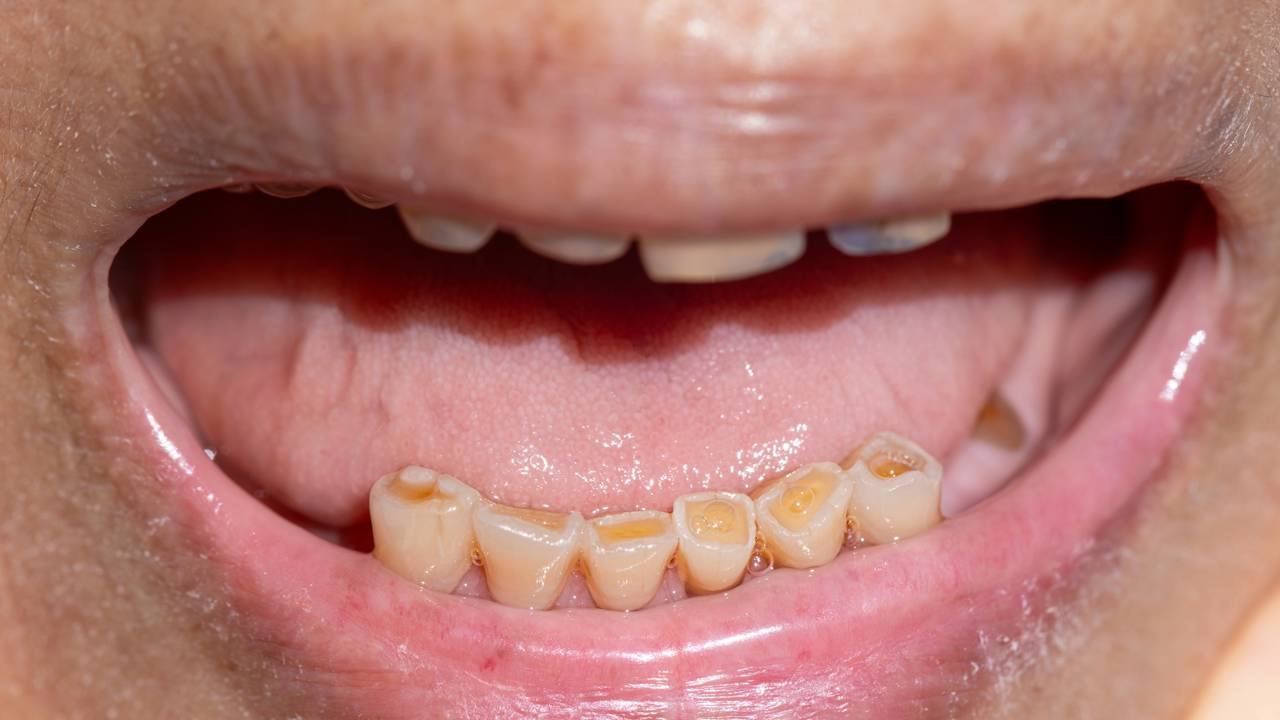
A erosão ácida nos dentes é a perda progressiva do esmalte provocada por ácidos que entram em contato direto com a superfície dental. Em vez de formar um buraco isolado, o esmalte vai ficando mais fino e desgastado em áreas amplas. Os dentes podem ganhar um aspecto “mais liso” e, em muitos casos, as bordas começam a parecer mais finas, com certa transparência.
Os ácidos que causam esse processo podem vir de fora ou de dentro do organismo. Entre as fontes externas estão bebidas como refrigerantes, sucos de frutas cítricas, energéticos, isotônicos e até alguns chás industrializados. Já como fonte interna aparece o ácido do estômago, presente em quadros de refluxo, vômitos repetidos e alguns transtornos alimentares. Quando essas exposições são frequentes e prolongadas, o esmalte não consegue se recuperar totalmente entre um episódio e outro.
Erosão ácida dental é a mesma coisa que cárie?
Apesar de ambas levarem à perda de estrutura dental, erosão ácida dental e cárie não são o mesmo problema. A cárie depende da presença de placa bacteriana aderida ao dente. As bactérias consomem açúcares, produzem ácidos em regiões específicas e, com o tempo, abrem cavidades localizadas. Já na erosão, o desgaste está ligado diretamente ao contato com ácidos, mesmo em áreas com pouca ou nenhuma placa visível.
Na prática clínica, o aspecto também costuma ser diferente. A cárie apresenta uma cavidade delimitada, frequentemente áspera ao toque. A erosão, por sua vez, deixa a superfície mais polida, com contornos arredondados. Em fases avançadas, o dente pode aparentar estar “encurtado” ou “gasto”, e o tom amarelado se torna mais evidente devido à maior exposição da dentina, camada interna que tem cor mais escura que o esmalte.
Como o pH e os alimentos ácidos influenciam a erosão ácida nos dentes?
O pH indica o nível de acidez de uma solução. Quando o pH na boca cai abaixo de um certo valor, chamado de pH crítico, o esmalte começa a perder minerais. Alimentos e bebidas muito ácidos reduzem rapidamente esse pH, favorecendo a erosão ácida nos dentes. Exemplos comuns são refrigerantes, sucos de limão, laranja, maracujá, energéticos, isotônicos e bebidas alcoólicas com mistura cítrica.
Além do tipo de produto, a forma de consumo tem papel importante. Tomar pequenos goles de refrigerante por horas, “bochechar” sucos cítricos para sentir mais o sabor ou usar essas bebidas como acompanhamento constante ao longo do dia mantém o pH baixo por mais tempo. Se, logo depois, ocorre escovação vigorosa, o esmalte ainda amolecido é submetido a atrito mecânico, somando desgaste químico e físico no mesmo período.
Quais sinais podem indicar erosão ácida dental?
Os primeiros sinais de erosão ácida dental costumam ser discretos. Um dos sintomas mais relatados é a sensibilidade a alimentos e bebidas frias, quentes ou muito doces. Em muitos casos, essa alteração aparece antes de qualquer dor intensa. Com o avanço do desgaste, surgem características mais visíveis, perceptíveis durante a escovação ou ao observar o sorriso.
- Superfícies dos dentes mais lisas e brilhantes.
- Bordas dos dentes anteriores com aparência mais fina ou transparente.
- Dentes parecendo menores ou “nivelados” nas pontas.
- Cor mais amarelada, associada à exposição da dentina.
- Sensibilidade aumentada ao toque, ao ar frio e a alimentos ácidos.
Em estágios avançados, o desgaste pode chegar próximo da polpa dental, região onde se concentram nervos e vasos sanguíneos. Nessa fase, a dor passa a ser mais constante, inclusive sem estímulos evidentes, e a mastigação de alimentos mais firmes torna-se desconfortável. A estética também é bastante afetada, já que o sorriso perde volume e harmonia.
Como prevenir erosão ácida nos dentes no dia a dia?
A prevenção da erosão ácida envolve principalmente ajustes de hábitos. Um dos pontos centrais é diminuir a frequência de contato dos dentes com bebidas ácidas. Dar preferência à água na maior parte do dia e reservar refrigerantes, energéticos e sucos muito ácidos para momentos específicos, de preferência durante as refeições, reduz o tempo de exposição do esmalte.
- Dar prioridade à água como bebida principal.
- Evitar manter bebidas ácidas na boca ou fazer bochechos com elas.
- Usar canudo em refrigerantes e sucos muito ácidos para reduzir o contato com os dentes.
- Aguardar cerca de 30 minutos após consumir alimentos ou bebidas ácidas antes de escovar.
- Escolher escovas de cerdas macias e cremes dentais com flúor, que ajudam na proteção do esmalte.
A saliva exerce papel importante nessa proteção, pois contribui para neutralizar o ácido e repor parte dos minerais perdidos. Por isso, manter boa hidratação e evitar fatores que diminuem o fluxo salivar é uma medida relevante. Em pessoas com boca seca frequente, o acompanhamento profissional torna-se ainda mais necessário.
Quais são as opções de tratamento para erosão ácida nos dentes?
O tratamento da erosão ácida nos dentes depende da intensidade do desgaste. Em casos leves, o dentista pode priorizar medidas conservadoras, como aplicações de flúor em consultório, indicação de cremes dentais dessensibilizantes e mudanças na dieta. Em algumas situações, pequenas restaurações em resina ajudam a proteger áreas mais frágeis e diminuir a sensibilidade.
Quando a perda de estrutura é maior, podem ser indicadas restaurações extensas, facetas ou coroas, com a finalidade de recuperar altura, formato e função mastigatória. Ao mesmo mesmo tempo, o profissional costuma investigar se há refluxo gástrico, vômitos frequentes ou outros fatores internos, orientando procura por avaliação médica quando necessário. Em quadros ligados a transtornos alimentares, a atuação conjunta de diferentes profissionais de saúde é essencial para controlar a exposição ao ácido gástrico.
Por que detectar cedo a erosão dental por ácido é tão importante?
Reconhecer a erosão dental por ácido nas fases iniciais aumenta a chance de preservar a maior parte do esmalte natural. Consultas periódicas permitem que o cirurgião-dentista observe pequenas alterações de brilho, formato ou sensibilidade antes que o dano se torne extenso. Com orientações claras sobre consumo de bebidas ácidas, higiene e cuidados complementares, torna-se possível reduzir a progressão do desgaste e manter a saúde bucal com mais estabilidade ao longo dos anos, mesmo em um cenário de alimentação moderna e variada.
FAQ sobre saúde bucal
Com que frequência devo ir ao dentista para manter a saúde bucal em dia?
A recomendação geral é realizar consultas a cada seis meses para avaliação e limpeza profissional. Entretanto, pessoas com maior risco de problemas bucais, como quem tem doença periodontal, histórico de muitas cáries ou uso de aparelhos, podem precisar de visitas mais frequentes, definidas pelo próprio dentista. Portanto, o ideal é seguir o intervalo personalizado indicado pelo profissional que acompanha o seu caso.
Qual é a melhor forma de escovar os dentes no dia a dia?
A escovação deve ser feita ao menos duas a três vezes ao dia, com escova de cerdas macias e creme dental com flúor. É importante realizar movimentos suaves e circulares, alcançando todas as faces dos dentes e a gengiva. Entretanto, escovar com força excessiva ou fazer movimentos muito horizontais pode desgastar o esmalte e machucar a gengiva. Portanto, foque em técnica correta e tempo de escovação (cerca de dois minutos), e não apenas em “força”.
O uso de fio dental é realmente necessário?
O fio dental é essencial porque remove placa e resíduos em áreas onde a escova não alcança, principalmente entre os dentes. Sem esse cuidado, aumenta o risco de cáries interproximais e inflamação gengival. Entretanto, muitas pessoas deixam de usar o fio por acharem difícil ou por causar leve sangramento no início. Esse sangramento, na maioria das vezes, é sinal de gengiva inflamada e tende a diminuir com o uso correto e diário. Portanto, inserir o fio dental na rotina é um passo fundamental para uma saúde bucal completa.
O enxaguante bucal é obrigatório ou apenas opcional?
O enxaguante bucal é um complemento da higiene, não um substituto da escovação e do fio dental. Alguns produtos ajudam a controlar bactérias, refrescar o hálito e oferecer flúor extra. Entretanto, enxaguantes com alto teor de álcool podem causar desconforto em pessoas sensíveis e não são indicados em todos os casos. Portanto, é recomendável escolher o enxaguante de acordo com a orientação do dentista, especialmente se houver sensibilidade, gengivite ou outras condições específicas.
O que pode causar mau hálito além de má escovação?
Em suma, o mau hálito pode estar ligado ao acúmulo de placa na língua, boca seca, consumo de certos alimentos (como alho e cebola) e uso de tabaco. Entretanto, problemas gastrointestinais, sinusites, diabetes descompensado e algumas medicações também podem contribuir para o odor desagradável. Portanto, se o mau hálito persiste mesmo com boa higiene bucal, é importante procurar avaliação odontológica e, quando indicado, médica, para investigar causas sistêmicas.
Bruxismo pode afetar a saúde dos dentes mesmo sem eu perceber?
O bruxismo (ranger ou apertar os dentes) pode causar desgaste dental, dor muscular, cefaleia e até fraturas, muitas vezes durante o sono, quando a pessoa não percebe o hábito. Entretanto, sinais como dor ao acordar, estalos na articulação da mandíbula e dentes mais “achatados” podem indicar o problema. Portanto, ao notar esses sintomas, é essencial procurar um dentista para diagnóstico e, se necessário, uso de placa miorrelaxante e outras estratégias de controle.
Como a alimentação interfere de forma geral na saúde bucal?
Uma alimentação rica em açúcares e carboidratos refinados favorece a formação de placa bacteriana e, consequentemente, cáries. Entretanto, alimentos fibrosos, como frutas e vegetais crus, estimulam a mastigação, aumentam a salivação e podem ajudar na limpeza mecânica da superfície dos dentes. Portanto, além de cuidar da higiene, é importante equilibrar a dieta, reduzir a frequência de lanches açucarados e preferir opções mais saudáveis ao longo do dia.
Fumar prejudica a saúde bucal de que maneira?
O tabagismo aumenta o risco de doença periodontal, manchas nos dentes, halitose e atraso na cicatrização após procedimentos odontológicos. Entretanto, o impacto não se limita à estética: fumar está diretamente associado a maior risco de câncer de boca e garganta. Portanto, reduzir ou cessar o uso de tabaco é uma das atitudes mais importantes para preservar a saúde bucal e geral, devendo ser acompanhada por suporte profissional quando necessário.
Crianças precisam de cuidados especiais com a saúde bucal?
Em suma, sim, pois a infância é uma fase crucial para formação de hábitos e prevenção de problemas futuros. A erupção dos primeiros dentes já exige higiene adequada, com escova apropriada para a idade e quantidade controlada de creme dental fluoretado. Entretanto, muitos responsáveis subestimam a importância dos dentes de leite, achando que “vão cair mesmo”. Cuidar bem deles é fundamental para mastigação, fala e para o posicionamento dos dentes permanentes. Portanto, é recomendável levar a criança ao dentista ainda nos primeiros anos de vida, para orientações preventivas e acompanhamento do desenvolvimento bucal.










