Correio Braziliense - Radar
  • Notícias
  • Economia
  • Entretenimento
  • Tecnologia
  • Bem-Estar
    • Beleza
  • Automobilismo
  • Turismo
    • Cidades
  • Curiosidades
  • Casa e Decoração
    • Jardinagem
Sem resultado
Veja todos os resultados
Correio Braziliense - Radar
  • Notícias
  • Economia
  • Entretenimento
  • Tecnologia
  • Bem-Estar
    • Beleza
  • Automobilismo
  • Turismo
    • Cidades
  • Curiosidades
  • Casa e Decoração
    • Jardinagem
Sem resultado
Veja todos os resultados
Correio Braziliense - Radar
Sem resultado
Veja todos os resultados
  • Notícias
  • Economia
  • Entretenimento
  • Tecnologia
  • Bem-Estar
  • Automobilismo
  • Turismo
  • Curiosidades
  • Casa e Decoração
Início Curiosidades

É isso que você não precisa fazer se quiser evitar o desgaste do esmalte dos dentes

Por Nicolas Otto
16/03/2026
Em Curiosidades
É isso que você não precisa fazer se quiser evitar o desgaste do esmalte dos dentes

Essa fruta antiga guarda um segredo que poucos conhecem - Créditos: depositphotos.com / HayDmitriy

EnviarCompartilharCompartilharEnviar

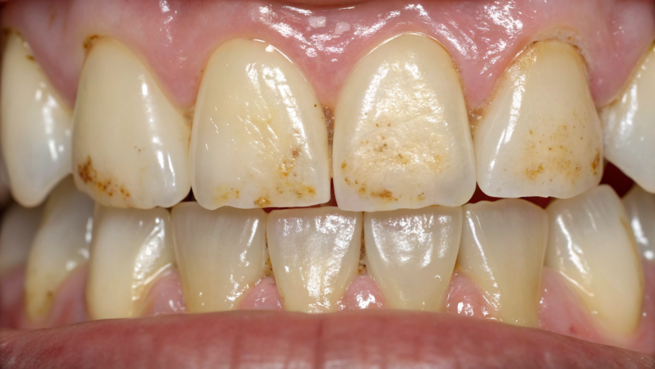
O esmalte dentário é a camada externa que protege os dentes contra desgaste, sensibilidade e danos provocados por alimentos ou bactérias. Embora seja uma estrutura resistente, hábitos diários podem enfraquecer essa proteção natural ao longo do tempo. Alguns comportamentos aparentemente inofensivos contribuem para o desgaste gradual dessa camada protetora.

Por que o esmalte dos dentes pode se desgastar?

O desgaste do esmalte dentário pode ocorrer de forma lenta e progressiva. Fatores como alimentação ácida, escovação inadequada e pressão excessiva sobre os dentes contribuem para a perda dessa camada protetora.

Quando o esmalte sofre desgaste, a estrutura interna do dente pode ficar mais exposta. Esse processo pode causar sensibilidade e aumentar a vulnerabilidade a outros problemas odontológicos.

É isso que você não precisa fazer se quiser evitar o desgaste do esmalte dos dentes
O cuidado simples que pode proteger seus dentes por anos

Como hábitos diários influenciam a saúde do esmalte?

Algumas rotinas aparentemente simples podem afetar diretamente a integridade do esmalte dentário. A forma como os dentes são escovados e os tipos de alimentos consumidos influenciam o equilíbrio da saúde bucal.

Bebidas muito ácidas, por exemplo, podem enfraquecer a superfície do esmalte quando consumidas com frequência. Associadas a uma escovação agressiva, essas práticas tendem a acelerar o desgaste da camada protetora.

Quais hábitos podem aumentar o desgaste do esmalte?

Diversos comportamentos cotidianos podem contribuir para o enfraquecimento gradual do esmalte dentário. Identificar essas práticas ajuda a reduzir fatores que afetam a resistência natural dos dentes e contribui para preservar a estrutura dentária ao longo do tempo.

Entre alguns hábitos que podem acelerar o desgaste do esmalte estão:

  • Escovar os dentes com muita força, aumentando a abrasão da superfície
  • Consumir bebidas ácidas com frequência, como refrigerantes e cítricos
  • Usar escovas com cerdas muito duras, que podem agredir o esmalte
  • Ranger os dentes durante o sono, comportamento conhecido como Bruxismo
  • Escovar os dentes logo após alimentos muito ácidos, quando o esmalte está mais sensível

Como proteger o esmalte durante a rotina de higiene bucal?

Manter bons hábitos de higiene bucal ajuda a preservar a integridade do esmalte dentário. Utilizar escovas com cerdas macias e realizar movimentos suaves durante a escovação contribui para reduzir o desgaste da superfície dos dentes.

Leia Também

Qual é a árvore que vive por mais tempo no mundo

Qual é a árvore que vive por mais tempo no mundo

04/05/2026
O que o azeite de oliva faz no colesterol e na saúde do cérebro

O que o azeite de oliva faz no colesterol e na saúde do cérebro

04/05/2026
A psicologia diz que as pessoas chamadas de sensíveis demais muitas vezes só percebem mais do que os outros ao redor

A psicologia diz que as pessoas chamadas de sensíveis demais muitas vezes só percebem mais do que os outros ao redor

04/05/2026
O que significa que um cachorro encoste a cabeça em você quando está deitado

O que significa que um cachorro encoste a cabeça em você quando está deitado

04/05/2026

Além disso, o uso de cremes dentais com flúor pode ajudar a fortalecer o esmalte. Esse mineral participa de processos que auxiliam na proteção da estrutura dentária.

Se você se preocupa com a saúde dos seus dentes, este vídeo do canal Dr. Osmar Castro, com 161 mil inscritos, foi escolhido para você. Nele, o especialista explica quais bebidas podem atacar o esmalte dentário e mostra cuidados simples que ajudam a proteger os dentes no dia a dia.

Por que o cuidado com o esmalte é importante para a saúde bucal?

Preservar o esmalte dentário é essencial para manter a resistência natural dos dentes Essa camada protetora atua como uma barreira contra estímulos externos e ajuda a evitar sensibilidade ou desconforto.

Quando o esmalte é preservado, os dentes permanecem mais protegidos contra desgaste e outros problemas bucais. Por esse motivo, hábitos adequados de higiene e alimentação são importantes para manter a saúde bucal ao longo do tempo.

Tags: Curiosidadesdenteesmalte
EnviarCompartilhar30Tweet19Compartilhar

Deixe um comentário Cancelar resposta

O seu endereço de e-mail não será publicado. Campos obrigatórios são marcados com *

Qual é a árvore que vive por mais tempo no mundo

Qual é a árvore que vive por mais tempo no mundo

04/05/2026
Pesquisas sugerem que pessoas que escrevem manualmente listas e pessoas que usam aplicativos de telefone processam o dia inteiro de forma diferente. Os escritores da lista de papel tendem a planejar a partir de pistas internas, enquanto os usuários do aplicativo dependem cada vez mais de avisos externos

Pesquisas sugerem que pessoas que escrevem manualmente listas e pessoas que usam aplicativos de telefone processam o dia inteiro de forma diferente. Os escritores da lista de papel tendem a planejar a partir de pistas internas, enquanto os usuários do aplicativo dependem cada vez mais de avisos externos

04/05/2026
O que o azeite de oliva faz no colesterol e na saúde do cérebro

O que o azeite de oliva faz no colesterol e na saúde do cérebro

04/05/2026
Como evitar picos de glicose com ajuda da moringa

Como evitar picos de glicose com ajuda da moringa

04/05/2026
A psicologia diz que as pessoas chamadas de sensíveis demais muitas vezes só percebem mais do que os outros ao redor

A psicologia diz que as pessoas chamadas de sensíveis demais muitas vezes só percebem mais do que os outros ao redor

04/05/2026
Os benefícios do treino com elástico para fazer em casa e ganhar força, definição e mais resistência no corpo todo

Os benefícios do treino com elástico para fazer em casa e ganhar força, definição e mais resistência no corpo todo

04/05/2026
  • Sample Page
  • Notícias
  • Economia
  • Entretenimento
  • Tecnologia
  • Bem-Estar
    • Beleza
  • Automobilismo
  • Turismo
    • Cidades
  • Curiosidades
  • Casa e Decoração
    • Jardinagem
Sem resultado
Veja todos os resultados