Correio Braziliense - Radar
  • Notícias
  • Economia
  • Entretenimento
  • Tecnologia
  • Bem-Estar
    • Beleza
  • Automobilismo
  • Turismo
    • Cidades
  • Curiosidades
  • Casa e Decoração
    • Jardinagem
Sem resultado
Veja todos os resultados
Correio Braziliense - Radar
  • Notícias
  • Economia
  • Entretenimento
  • Tecnologia
  • Bem-Estar
    • Beleza
  • Automobilismo
  • Turismo
    • Cidades
  • Curiosidades
  • Casa e Decoração
    • Jardinagem
Sem resultado
Veja todos os resultados
Correio Braziliense - Radar
Sem resultado
Veja todos os resultados
  • Notícias
  • Economia
  • Entretenimento
  • Tecnologia
  • Bem-Estar
  • Automobilismo
  • Turismo
  • Curiosidades
  • Casa e Decoração
Início Bem-Estar

O que acontece no fígado quando se consome álcool regularmente

Por Patrick Silva
03/04/2026
Em Bem-Estar, saúde
O que acontece no fígado quando se consome álcool regularmente

O que acontece no fígado com o consumo frequente de álcool ao longo do tempo

EnviarCompartilharCompartilharEnviar

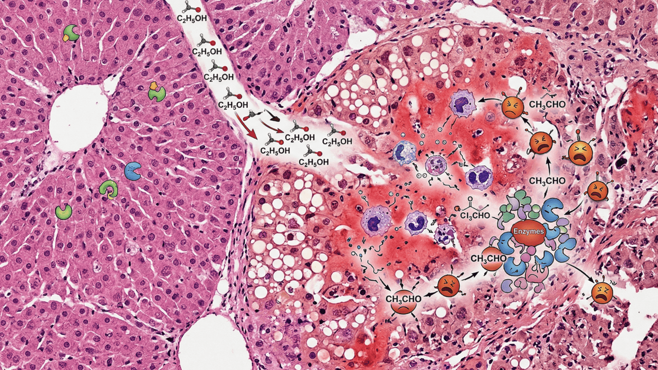
Consumir bebidas alcoólicas com frequência sobrecarrega o organismo de maneira silenciosa, afetando diretamente o funcionamento de órgãos vitais importantes. O fígado desempenha o papel central no processamento dessas substâncias, tentando neutralizar os compostos tóxicos que entram na corrente sanguínea. Manter esse hábito exige que o corpo realize um esforço metabólico constante para tentar preservar a saúde interna.

Como o metabolismo processa as substâncias tóxicas?

Quando a bebida entra no sistema digestivo, o órgão precisa priorizar a quebra das moléculas de etanol para evitar danos imediatos. Esse processo químico gera subprodutos perigosos que atacam as células saudáveis, causando uma inflamação que pode se tornar persistente. O corpo trabalha incansavelmente para filtrar as impurezas, mas a velocidade do consumo muitas vezes supera a capacidade regenerativa.

A presença contínua de toxinas altera a produção de enzimas fundamentais para a digestão e para o equilíbrio hormonal do indivíduo. Com o tempo, a eficiência do processamento diminui, resultando no acúmulo de substâncias que prejudicam a renovação celular natural e necessária. Esse ciclo vicioso desgasta a estrutura interna, exigindo que o metabolismo se adapte a condições de trabalho extremas.

O que acontece no fígado quando se consome álcool regularmente
O que acontece no fígado com o consumo frequente de álcool ao longo do tempo

Quais são as fases da inflamação hepática?

O primeiro sinal de desgaste é o acúmulo de gordura nas células, uma condição que dificulta a passagem do sangue e a filtragem adequada. Se o consumo não for interrompido, o tecido começa a sofrer cicatrizes permanentes que impedem o funcionamento pleno das funções biológicas básicas. Essa evolução ocorre de forma lenta, muitas vezes sem apresentar sintomas claros no início.

A inflamação prolongada evolui para estágios onde a regeneração natural torna-se quase impossível para o organismo humano debilitado. As áreas saudáveis são substituídas por fibras rígidas que comprometem a circulação interna e a produção de proteínas vitais para a vida. Sem a devida atenção, o dano acumulado torna-se uma barreira física que impede a manutenção do equilíbrio metabólico saudável.

Como o corpo sinaliza o cansaço do sistema?

O organismo costuma enviar alertas discretos quando a capacidade de filtragem está chegando ao seu limite máximo de segurança. A pele e os olhos podem apresentar alterações de cor, indicando que certas substâncias estão acumuladas de forma perigosa no sangue. Perceber esses sinais precoces é fundamental para buscar mudanças de hábitos que preservem a integridade física e a longevidade.

Leia Também

Estudo mostra o que o azeite de oliva faz no fígado e na saúde cardiovascular

Estudo mostra o que o azeite de oliva faz no fígado e na saúde cardiovascular

16/05/2026
Maçã vermelha fresca com gotículas de água sobre tábua de madeira em ambiente de cozinha iluminado naturalmente

O que comer uma maçã por dia faz no intestino, no fígado e no colesterol, segundo a ciência

15/05/2026
O que o consumo de limão em jejum faz no fígado e na digestão

O que o consumo de limão em jejum faz no fígado e na digestão

15/05/2026
O que a cerveja faz na saúde cardiovascular e também no fígado

O que a cerveja faz na saúde cardiovascular e também no fígado

15/05/2026

Os sintomas mais frequentes de sobrecarga orgânica incluem:

  • Cansaço extremo sem motivo aparente.
  • Dores leves na região abdominal.
  • Perda de apetite sem explicação.
  • Náuseas frequentes após as refeições.

Quais as consequências para a absorção de nutrientes?

A função de armazenamento de vitaminas e minerais fica seriamente comprometida quando o sistema está focado apenas na desintoxicação. O corpo deixa de absorver elementos essenciais, resultando em carências nutricionais que afetam a imunidade e a disposição diária de qualquer pessoa. Essa falha na nutrição celular enfraquece todo o sistema imunológico, deixando o indivíduo vulnerável a diversas doenças oportunistas.

O consumo frequente inibe transportadores essenciais de nutrientes, levando a deficiências críticas de Vitamina B1 (Tiamina), Folato e Vitamina A, o que enfraquece a resposta imunológica e a recuperação muscular (PubMed – The Influence of Alcohol Consumption on Intestinal Nutrient Absorption). Essa falha na nutrição celular deixa o indivíduo vulnerável a doenças oportunistas e à fraqueza persistente.

O que acontece no fígado quando se consome álcool regularmente
O que acontece no fígado com o consumo frequente de álcool ao longo do tempo

Onde buscar orientações sobre a saúde do sistema digestivo?

Compreender os limites do próprio corpo é o primeiro passo para garantir uma vida equilibrada e livre de complicações futuras. Existem diretrizes globais que ensinam como manter a saúde dos órgãos internos através de escolhas conscientes e preventivas. Buscar informação qualificada em portais de autoridade permite que o indivíduo tome decisões baseadas em fatos científicos sólidos e comprovados mundialmente.

A manutenção da saúde hepática exige acompanhamento regular e o acesso a conteúdos que expliquem detalhadamente os riscos do consumo frequente. A Organização Mundial da Saúde disponibiliza dados sobre as doenças crônicas não transmissíveis que afetam a população global e como preveni-las de modo eficaz. Estar bem informado ajuda a proteger a integridade física e a garantir um futuro próspero.

Tags: álcoolFígadoinflamação hepáticasubstâncias tóxicas
EnviarCompartilhar30Tweet19Compartilhar

Deixe um comentário Cancelar resposta

O seu endereço de e-mail não será publicado. Campos obrigatórios são marcados com *

O erro de português extremamente comum que faz muita gente confundir “sessão”, “seção” e “cessão”

O erro de português extremamente comum que faz muita gente confundir “sessão”, “seção” e “cessão”

18/05/2026
Se você cresceu com um pai tóxico, provavelmente ainda acredita nessas 5 coisas realmente tristes sobre você

Se você cresceu com um pai tóxico, provavelmente ainda acredita nessas 5 coisas realmente tristes sobre você

18/05/2026
Quanto tempo deve durar cada repetição na prancha dinâmica para melhorar a força do abdômen com mais eficiência

Quanto tempo deve durar cada repetição na prancha dinâmica para melhorar a força do abdômen com mais eficiência

18/05/2026
A psicologia sugere que filhos de pais narcisistas e adorados em público aprendem cedo a calar a própria verdade para não parecerem ingratos ou exagerados

A psicologia sugere que filhos de pais narcisistas e adorados em público aprendem cedo a calar a própria verdade para não parecerem ingratos ou exagerados

18/05/2026
Diabetes: a maçã com casca ajuda a regular o açúcar e 15 minutos de caminhada pela manhã podem transformar a saúde

Diabetes: a maçã com casca ajuda a regular o açúcar e 15 minutos de caminhada pela manhã podem transformar a saúde

18/05/2026
O que a pata do filhote pode revelar sobre o tamanho que ele ainda vai alcançar

O que a pata do filhote pode revelar sobre o tamanho que ele ainda vai alcançar

18/05/2026
  • Sample Page
  • Notícias
  • Economia
  • Entretenimento
  • Tecnologia
  • Bem-Estar
    • Beleza
  • Automobilismo
  • Turismo
    • Cidades
  • Curiosidades
  • Casa e Decoração
    • Jardinagem
Sem resultado
Veja todos os resultados