A sabedoria popular que diz que os "olhos são a janela da alma" é levada literalmente na técnica cirúrgica osteo-odonto ceratoprótese (cuja sigla em inglês é OOKP), utilizada em pacientes com doenças inflamatórias da córnea, quando uma parte do dente naturalmente deslocado e próximo ao osso é usada para sustentar um cilindro óptico, uma lente, conseguindo, assim, restaurar a visão para quem já não conseguir mais enxergar.
- Leia também: 5 técnicas simples para alinhar a postura corporal
O procedimento, considerado complexo, conquista cada vez mais especialistas, pois é indicado para pessoas com cegueira corneana grave na parte frontal dos olhos, causada por cicatrizes conjuntivais causadas por doenças autoimunes, queimaduras químicas e outros traumas, mas que ainda mantêm a retina e os nervos ópticos saudáveis na parte posterior dos olhos.
A técnica ainda não chegou ao Brasil, mas médicos oftalmologista, como Luiz Brito, oftalmologista do H.Olhos, Hospital de Olhos da Rede Vision One, de São Paulo, defendem a alternativa como a melhor opção em casos extremos. Um estudo publicado na National Library Medicine que acompanhou pacientes submetidos à cirurgia mostrou que eles, apesar da visão periférica limitada, são capazes de se orientar, ler em letras grandes, e ter autonomia para se alimentar, vestir e desempenhar atividades do dia a dia de forma autônoma.
- Leia também: Tratamento com luz é capaz de eliminar superbactérias, mostra estudo com equipe brasileira
Recentemente, no Canadá, uma equipe de cirurgiões sob comando de Greg Moloney, oftalmologista e cirurgião do Hospital Mount Saint Joseph, em Vancouver, comemorou os resultados do procedimento realizado em uma mulher, que há 20 anos, estava cega. Segundo o médico, não é milagre, mas ciência, uma vez que o organismo tende a rejeitar menos o que é próprio dele, no caso o dente adaptado.
Procedimento
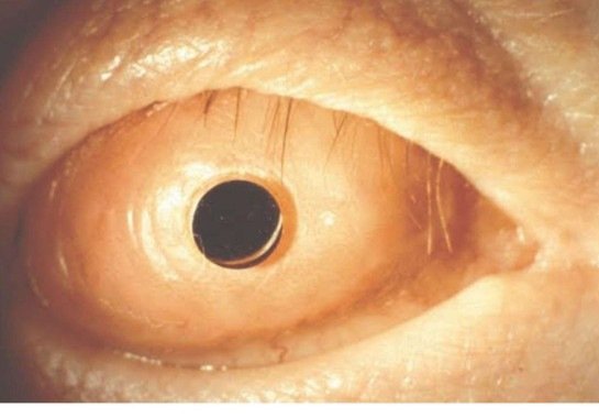
Na cirurgia, é utilizada uma parte do dente, preferencialmente o canino que é maior, e do osso, ali é adaptada uma lente óptica. Esta adaptação cria um implante que substitui a córnea. Paralelamente, há um implante temporário na bochecha para desenvolvimento de vasos sanguíneos antes do transplante final no olho. A lente cilíndrica de polimetilmetacrilato (PMMA), que funcionará como uma nova córnea.
O "dente-lente" permite a formação de vasos sanguíneos ao redor da prótese, fundamental para os bons resultados. Depois de dois a quatro meses, quando a prótese está bem vascularizada, é retirada da bochecha e implantada no olho, substituindo a córnea danificada.
Palavra de especialista
"Esse procedimento ainda não é realizado no Brasil. As contraindicações estão atreladas na impossibilidade de usar algum dente ou parte da Tíbia. Existem contraindicações inerentes ao procedimento cirúrgico em si, como estado clínico do paciente. A osteodonto é a última linha de tratamento para opacidades corneanas, quando todas as outras possibilidades cirúrgicas não tem benefícios. Na cirurgia, a primeira etapa é retirar o dente (odontologista) ou parte da Tíbia (ortopedista). Incorporar esse enxerto ósseo à superfície ocular, por seis meses. E, assim, realizar o implante da prótese, em que o pós-operatório deve ser realizado com retornos em períodos breves, até termos certeza que houve boa adaptação da prótese. Geralmente pacientes com sequelas de Steven-Johnson, queimadura química ocular, penfigoide ocular."
Luiz Brito, oftalmologista
do H.Olhos, Hospital de Olhos
da Rede Vision One
Saiba Mais
