O Edema Pulmonar, comumente conhecido como água no pulmão, representa uma condição médica em que se observa o acúmulo de líquido nos alvéolos pulmonares, comprometendo significativamente as trocas gasosas e, por consequência, a respiração. Embora frequentemente associado a problemas cardíacos, este cenário pode surgir devido a uma variedade de fatores, incluindo infecções pulmonares, exposição a toxinas ou condições ambientais extremas, como grandes altitudes.
Quais são os principais sintomas de água no pulmão?
A sintomatologia do Edema Pulmonar é diversificada e pode variar dependendo da gravidade da condição e da rapidez com que o líquido se acumula nos pulmões. Entre os sinais mais comuns, destacam-se afalta de ar e a dificuldade respiratória intensificada, que em muitos casos são acompanhadas por tosse, ocasionalmente com sangue. Outros sintomas incluem aumento na frequência respiratória, a respiração ruidosa e o aparecimento de mucosas arroxeadas, especialmente em locais como os lábios e os olhos.

Como é feito o diagnóstico do Edema Pulmonar?
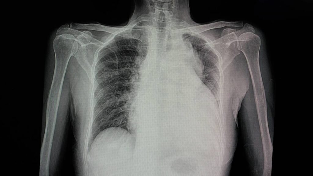
O diagnóstico preciso do Edema Pulmonar é fundamental para o tratamento eficaz e é conduzido normalmente por um pneumologista ou cardiologista. A confirmação da presença de água nos pulmões começa com a análise cuidadosa dos sintomas apresentados. Em seguida, exames de imagem, como o raio-X de tórax, são essenciais para identificar a presença de líquido nos pulmões, mostrando frequentemente uma mancha borrada ao redor das áreas afetadas.
Além do raio-X, exames complementares podem ser solicitados para avaliar a função cardíaca e pulmonar, incluindo eletrocardiograma, tomografia do tórax e gasometria arterial. Esse último exame é fundamental para avaliar a quantidade de oxigênio e dióxido de carbono no sangue, ajudando a identificar a causa do edema.
Qual é o tratamento para água no pulmão?
Assim que o diagnóstico é confirmado, o tratamento deve ser iniciado rapidamente para evitar complicações graves e garantir a recuperação do paciente. O objetivo inicial é estabilizar a respiração, podendo ser necessário o uso de oxigenoterapia para auxiliar este processo. Em alguns casos, medicamentos diuréticos são administrados para ajudar na redução do líquido acumulado nos pulmões.
Se a causa do edema é de origem cardíaca, pode ser necessário também o uso de medicamentos específicos para o coração, ou até mesmo proceder com cirurgia em casos mais graves. Para situações onde toxinas ou exposição a condições ambientais são a causa, a remoção ou afastamento da fonte é crucial para o sucesso do tratamento.
Que cuidados tomar após o tratamento?
Após o tratamento inicial e estabilização do quadro, é vital que o paciente adote mudanças no estilo de vida que ajudem a prevenir a recorrência do Edema Pulmonar. Estas mudanças podem incluir o controle de condições subjacentes, como hipertensão e doenças cardíacas, através de medicações adequadas e alterações na dieta. É crucial também o seguimento médico regular para garantir que a saúde pulmonar e cardíaca se mantenha estável no longo prazo.
A educação do paciente em relação aos sinais e sintomas de agravamento da condição pode ser uma ferramenta poderosa para evitar complicações futuras. Um acompanhamento multidisciplinar, envolvendo cardiologistas, pneumologistas e nutricionistas, pode servir como um forte aliado na gestão efetiva do Edema Pulmonar, garantindo assim a qualidade de vida do paciente.
Entre em contato:
Dra. Anna Luísa Barbosa Fernandes
CRM-GO 33.271









