
Um garoto indiano teve 526 dentes removidos da boca durante uma cirurgia. A operação, que ocorreu em 2019, foi feita para retirar um tumor benigno repleto de estruturas dentárias do paciente. O episódio ainda bateu um recorde. É, até hoje, o maior registro do mundo de odontoma composto.
Segundo informações do jornal britânico The Guardian, o garoto apresentava uma pequena protuberância na mandíbula. A característica passou despercebida durante quatro anos — dos três aos quatro anos de idade. Inicialmente, parecia um inchaço habitual. No entanto, veio a revelar as centenas de dentes "escondidos".
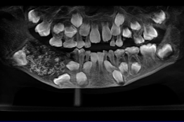
Atendido no Saveetha Dental College and Hospital, o menino se queixou de inchaço do lado direito da mandíbula, além da não erupção dos dentes permanentes. Após fazer tomografias e radiografias, o problema foi constatado: uma densa massa de 200 gramas estava alojada na mandíbula inferior.
Para eliminar a anomalia, uma cirurgia de cinco horas de duração foi necessária. Dessa forma, foi cumprida a missão de retirada de um raro tumor, conhecido por levar o nome de odontoma composto. A massa é um crescimento benigno, composto por um tecido dentário em formação irregular.
Desdobramentos do caso
A abertura do material, já em laboratório, revelou ainda mais desdobramentos. Dentro da massa, antes na mandíbula inferior, 526 estruturas ósseas, semelhantes a dentes, foram encontradas. Variáveis entre 0,1 mm e 15 mm, possuíam raiz, coroa e até esmaltem, justamente características de dentes verdadeiros.
Durante outras cinco horas, cada pedaço foi selecionado e contado. Pratibha Ramani, patologista, afirmou que um número tão alto de "minidentes" jamais havia sido encontrado anteriormente.
Três dias depois da cirurgia, o menino recebeu alta e deixou o hospital. Os 21 dentes normais, além disso, foram preservados, e não tiveram necessidade de reconstrução mandibular. Acompanhado de perto por profissionais odontológicos, o garoto, hoje, segue vida normal.
Política
Ciência e Saúde
Brasil
Mundo
Mundo
Mundo